Εισαγωγή: Η πνευμονική σιδήρωση ή Welder’s lung αποτελεί σπάνια μορφή πνευμονοκονίωσης, που προκαλείται από εισπνοή σωματιδίων μετάλλων κατά την διάρκεια οξυγονοκολλήσεων, κυρίως οξειδίων σιδήρου. Αν και συχνά θεωρείται καλοήθης κατάσταση, μπορεί να συνυπάρχει με ή να μιμείται άλλες παθολογίες του θώρακα, δυσχεραίνοντας τη διαγνωστική προσέγγιση.
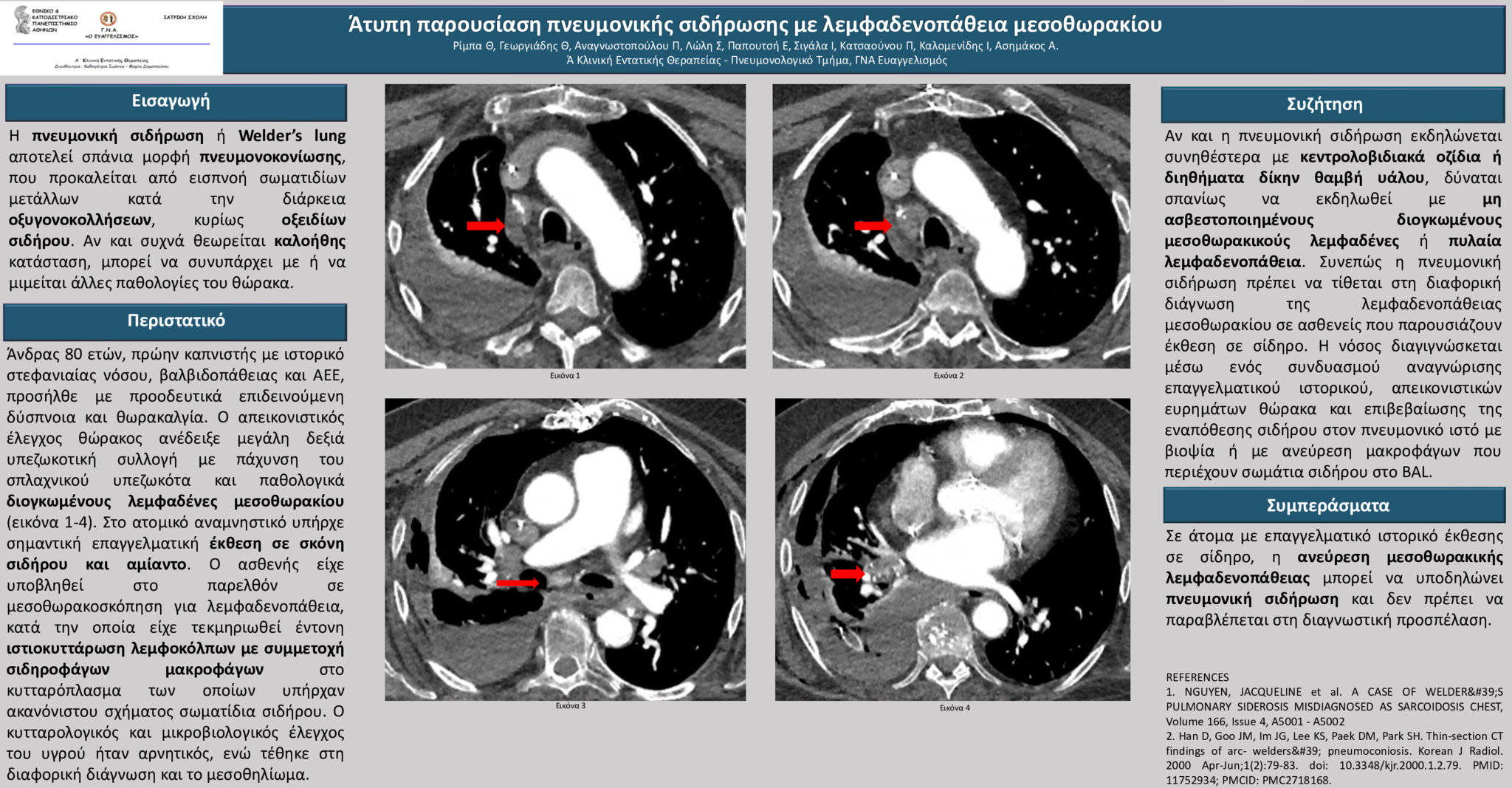
Περίπτωση: Άνδρας 80 ετών, πρώην καπνιστής με ιστορικό στεφανιαίας νόσου, βαλβιδοπάθειας και αγγειακού εγκεφαλικού επεισοδίου, προσήλθε με προοδευτικά επιδεινούμενη δύσπνοια και θωρακαλγία. O απεικονιστικός έλεγχος θώρακος ανέδειξε μεγάλη δεξιά υπεζωκοτική συλλογή με πάχυνση του σπλαχνικού υπεζωκότα και παθολογικά διογκωμένους μεσοθωρακικούς λεμφαδένες. Στο ατομικό ιστορικό υπήρχε σημαντική επαγγελματική έκθεση σε σκόνη σιδήρου και αμίαντο. Ο ασθενής είχε υποβληθεί στο παρελθόν σε μεσοθωρακοσκόπηση για λεμφαδενοπάθεια, κατά την οποία είχε τεκμηριωθεί έντονη ιστιοκυττάρωση λεμφοκόλπων με συμμετοχή σιδηροφάγων μακροφάγων στο κυτταρόπλασμα των οποίων υπήρχαν ακανόνιστου σχήματος σωματίδια σιδήρου. Ο κυτταρολογικός και μικροβιολογικός έλεγχος της συλλογής ήταν αρνητικός, ενώ τέθηκε στη διαφορική διάγνωση και το μεσοθηλίωμα Συζήτηση: Αν και η πνευμονική σιδήρωση εκδηλώνεται συνηθέστερα με κεντρολοβιδιακά οζίδια ή διηθήματα δίκην θαμβή υάλου, δύναται σπανίως να εκδηλωθεί με μη ασβεστοποιημένους διογκωμένους μεσοθωρακικούς λεμφαδένες ή πυλαία λεμφαδενοπάθεια. Συνεπώς η πνευμονική σιδήρωση πρέπει να τίθεται στη διαφορική διάγνωση της λεμφαδενοπάθειας μεσοθωρακίου σε ασθενείς που παρουσιάζουν έκθεση σε σίδηρο. Η νόσος διαγιγνώσκεται μέσω ενός συνδυασμού αναγνώρισης επαγγελματικού ιστορικού, απεικονιστικών ευρημάτων θώρακα και επιβεβαίωσης της εναπόθεσης σιδήρου στον πνευμονικό ιστό με βιοψία ή με ανεύρεση μακροφάγων που περιέχουν σωμάτια σιδήρου στο BAL.
Συμπεράσματα: Σε άτομα με επαγγελματικό ιστορικό έκθεσης σε σίδηρο, η ανεύρεση μεσοθωρακικής λεμφαδενοπάθειας μπορεί να υποδηλώνει πνευμονική σιδήρωση και δεν πρέπει να παραβλέπεται στη διαγνωστική προσπέλαση.
- 1 προβολή

